80代女性「前歯の見た目が気になる」印象を悪くしていた古い保険の被せ物と小さい歯を、「ジルコニアセラミック」と「ラミネートベニア」で修復し、審美性が改善した症例
治療前

治療後

治療前

治療後

治療前

治療後

治療前

治療後

治療期間
通院回数
治療費
ジルコニアセラミック×2本
ラミネートべニア×2本
想定される副作用またはリスク
・噛み合わせや歯ぎしりが強い場合、セラミックが割れる可能性があります
・一部の治療を除き、自費診療(保険適用外治療)です
・非常に薄いセラミックのため、強度は弱くなります
・中の歯の色の影響を受けやすいため、変色が強い歯には適さない場合があります
ご相談内容
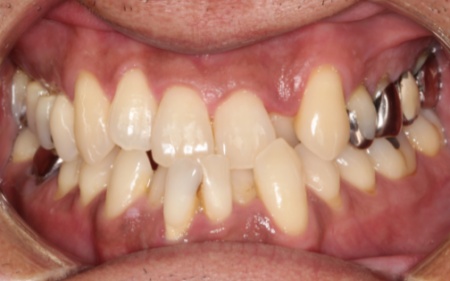
「前歯の見た目が気になる」とご相談いただきました。
カウンセリング・診断結果
拝見すると、上の前歯3本(左右の中切歯/1番、右の側切歯/2番)が、他の歯より前に飛び出ている「上顎前突(じょうがくぜんとつ)」、いわゆる出っ歯で、真ん中は2本分が連結している保険範囲内の古い被せ物が入っていました。
出っ歯だと物が噛みにくいため、唇も閉じにくい様子でした。
また、左の前歯(側切歯)は通常より小さいため隣の歯(中切歯)とのサイズ差が大きく、見た目のバランスが合っていませんでした。
患者様にお話を伺うと、「年齢に関係なく治療してくれる歯医者さんを探していた。今より前歯をきれいにしたい」とご希望でした。
行ったご提案・治療内容
真ん中の前歯2本(中切歯)は、経年劣化による変色と出っ歯を改善するため、歯の角度を調整し、変色しない白いガラス系の素材「ジルコニアセラミック」で、1本ずつ独立した新しい被せ物にする治療をご説明しました。
また、左右の歯2本(側切歯)は、サイズ差や出っ張り具合を改善するために、歯を削らず詰め物を表面に貼り付け見た目を大きくして、形を整えられる「ラミネートベニア」をご提案しました。
まず、古い被せ物を除去し土台の形を整え、仮歯に置き換えました。
その後、前歯4本のバランスを患者様とご相談しながら整え、歯の大きさや形、角度が問題ないか再度確認し、最終的な被せ物の型取りを行いました。
被せ物が完成した後は噛み合わせを調整し、セメントで装着しました。
