10代男性 ワイヤー装置と矯正用のバネを併用するスピード矯正でガタガタした歯並びを整えた症例
治療前

治療後

治療前

治療後

治療前

治療後

治療前

治療後

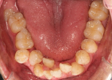
治療前

治療後

治療前

治療後

治療前

治療後

治療期間
通院回数
治療費
【内訳】
スピード矯正、保定装置
想定される副作用またはリスク
・歯の移動に伴って、違和感や痛みを感じる場合があります
・冷たいものを飲んだときに歯がしみる「知覚過敏」の症状が出る場合があります
・正しいブラッシングやメンテナンスを行わない場合、虫歯や歯周病のリスクが高まります
・外科処置後に腫れ、出血が生じる場合があります
・外科処置後に痛みが長引く場合があります。必要に応じ痛み止めを併用します
ご相談内容
「前歯がガタガタしているのと八重歯が気になり、いままで人前で笑うことが苦手だった。あと歯磨きがしづらくて、口臭もある。成人式までにきれいな歯並びにしたい」とご相談いただきました。
カウンセリング・診断結果
拝見したところ、全体的に歯並びがガタガタと乱れていました。
特に上下の前歯は正常な位置から大きくずれて重なり合って生えており、歯ブラシが当てにくく汚れが溜まりやすいため、歯ぐきの炎症や口臭の原因になっています。
このまま放置すると見た目の問題だけでなく、歯ぐきの炎症が進行して歯の寿命にも影響を及ぼす可能性があるため、歯並びを整える治療が必要と診断しました。
行ったご提案・治療内容
診断結果をお伝えし、歯を正しい位置に動かすスペースを確保するために抜歯が必要なこと、抜歯後に歯の表面に小さな部品を取り付けてワイヤーを通すワイヤー装置とクローズドコイル(矯正用のバネ)を併用するスピード矯正で歯並びを整える方法を提案し、同意いただきました。
クローズドコイルは、バネの収縮力を利用して歯を動かすためワイヤー装置のみの矯正治療と比べて治療期間の短縮が期待できます。
一方で、歯を動かすスピードが早いために痛みを感じやすい点がデメリットです。
まず左右上・左下第1小臼歯と右下側切歯の計4本を抜歯します。
次に、上下の歯にワイヤー装置とクローズドコイルを順次装着し、抜歯によって確保したスペースを利用して歯を動かした結果、成人式までに歯並びを整えることができました。
現在は、歯並びの後戻りを予防するための保定装置を装着いただいています。





