60代女性 歯が欠損している部分にインプラントを利用した入れ歯治療を施し見た目の改善としっかり噛めるようにした症例
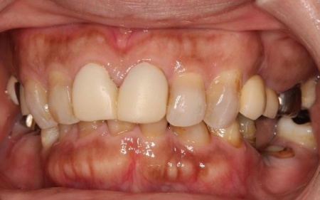
治療前

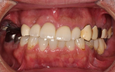
治療後

治療前

治療後

治療前

治療後

治療前

治療後

治療前

治療後

治療前

治療後

治療期間
通院回数
治療費
【内訳】
インプラント2本、下の入れ歯
※上の入れ歯は保険適用
想定される副作用またはリスク
・メンテナンスを怠ったり、喫煙したりすると、お口の中に大きな悪影響を及ぼし、インプラント周囲炎等にかかる可能性があります
・糖尿病、肝硬変、心臓病などの持病をお持ちの場合、インプラント治療ができない可能性があります
・高血圧、貧血・不整脈などの持病をお持ちの場合、インプラント治療後に治癒不全を招く可能性があります
・入れ歯は着脱式のため、食後の清掃が必要です
・最初のうちは異物感があり、慣れるまで時間がかかる場合があります
ご相談内容
「口元の見た目が悪いのが気になる。歯がなくてやわらかい物しか食べられず、大好きなおせんべいも諦めている。しっかり噛めるようになって、主人と一緒に食事をしたり好きな物を食べたりできるようになりたい」とご相談いただきました。
また、治療をしたいとの思いから数件の歯科医院に足を運んだそうですが、治療が難しいと言われてしまったとも教えていただきました。
カウンセリング・診断結果
拝見したところ、上の歯は1本も残っておらず、下の歯もほぼ失われているため食べ物を噛むことが難しく、加えて見た目の美しさも損なわれている状態です。
また残っている下の歯は、左右1本ずつ(右下第1小臼歯/4番、左下第2小臼歯/5番)以外は指で掴むと抜けてしまうほどグラグラと揺れており、抜歯が必要であると診断しました。
行ったご提案・治療内容
診断結果を丁寧に説明したうえで、見た目と噛み合わせを回復させるための方法として、状態の悪い歯を抜いてから上下の入れ歯を作製する治療を提案しました。
患者様は費用の面から入れ歯の種類は保険内で作製できるものを希望されていましたが、一般的に上の入れ歯は保険の入れ歯でも安定しやすいのに対し、下の入れ歯についてはズレやすいところが難点として挙げられます。そのため、下の歯には人工歯根の「インプラント」を利用して固定するタイプの入れ歯の装着を案内しました。
この方法であれば、下の入れ歯が安定し見た目が良くなるのはもちろん、ご主人と同じ食事ができるようになることをお伝えしたところ、患者様も希望され治療に同意いただきました。
まずは右下第1小臼歯と左下第2小臼歯以外の歯を全て抜歯し、残った2本の歯については頭部分を削って根だけを残してその上に入れ歯を被せる計画を立てました。この方法なら、下の入れ歯をよりしっかりと支えることができるようになり噛む力も安定するメリットがあります。
その次に、下あごの前歯2箇所(左右側切歯/2番)にインプラントを1本ずつ埋める手術を行いました。治療の際はインプラント手術の補助装置である「シミュレーションガイド」を用いて、インプラントを正確な位置と角度で埋入しています。
手術から3ヶ月後、下に仮の入れ歯を作製したあと、下の入れ歯とインプラントにマグネットを装着して固定し、上あごには保険の入れ歯を作製しました。
上下の入れ歯で問題なく噛めることを確認してから、下あごの最終的な入れ歯を作製し治療を終了しました。
治療中
その他







