50代男性 乱れた歯並びと受け口をワイヤー矯正とクローズドコイルを併用したスピード矯正で改善した症例
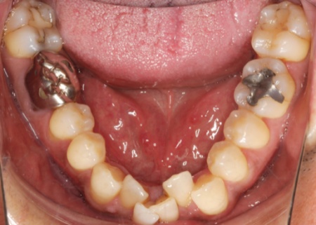
治療前

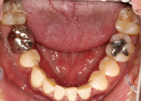
治療後

治療前

治療後

治療前

治療後

治療前

治療後

治療前

治療後

治療前

治療後

治療期間
通院回数
(月に1回の治療)
治療費
(保定装置含む)
想定される副作用またはリスク
・外科処置後に痛みが長引く場合があります。必要に応じ痛み止めを併用します
・治療中、装置によってまれに頬の内側が傷つき、口内炎になる場合があります
・歯の移動に伴って、違和感や痛みを感じる場合があります
・冷たいものを飲んだときに歯がしみる「知覚過敏」の症状が出る場合があります
・正しいブラッシングやメンテナンスを行わない場合、虫歯や歯周病のリスクが高まります
ご相談内容
「前歯がガタガタで受け口なのが気になっている。また、歯磨きがしにくく口臭もある。今までは人前で笑うことが苦手だったので、その原因となっている歯並びの悪さを治したい」とご相談いただきました。
カウンセリング・診断結果
拝見したところ、上下前歯は歯が正常な位置からずれたりねじれたりしてデコボコに生えており、また前歯の噛み合わせが反対になる受け口も見られました。
このままの状態を放置すると見た目に悪影響が出るだけでなく、歯ブラシが当たりにくい部分に汚れが蓄積しやすくなり、虫歯や歯周病のリスクが高まります。
さらに、前歯が噛み合わないことが原因でほかの歯や顎に負担がかかり歯が割れたり、顎関節症を発症したりするおそれもあるため、矯正治療をする必要があると診断しました。
行ったご提案・治療内容
歯を正しい位置に並べるスペースを確保するために、下顎は左右の奥歯(第1小臼歯)を抜き、ワイヤー矯正とクローズドコイルを併用するスピード矯正を、上顎は抜歯せずにワイヤー矯正のみで治療する方法を提案し、同意いただきました。
ワイヤー矯正では、歯の表面にボタン状の四角い器具であるブラケットを接着し、そこにワイヤーを通して歯を動かすマルチブラケット装置を使用します。
治療中の審美性を考慮して、前歯のブラケットは透明で目立ちにくいものを選択しました。
クローズドコイルとは矯正治療用のバネのことで、バネの収縮力を利用し、歯に対して一方向へ一定の力をかけ続けることができます。違和感や痛みがやや出やすいものの、一般的な矯正治療と比べて治療期間の短縮や通院回数の減少が期待できる治療方法です。
まずは、下左右の奥歯2本を抜いてからマルチブラケット装置とクローズドコイルを装着し、歯並びを整えるレベリングを開始します。
レベリングとは、ワイヤーの調整や交換を行いながら歯の傾きを変えたり回転させたりして向きを整え、それぞれの歯を適切な位置へと移動させる工程のことです。
この段階でクローズドコイルを併用すると、歯の移動をより効率的に進めることができます。
月に1回程度装置の調整のために来院いただいた結果、約3年で口元のバランスが整いました。
矯正治療後は歯並びが元に戻らないようにするため、上下前歯の裏側に保定装置を着用していただきながら、定期的なメンテナンスを続けています。





