50代男性 バランスが崩れた噛み合わせをインプラント治療と被せ物治療で改善した症例
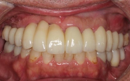
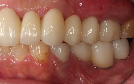
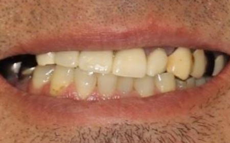
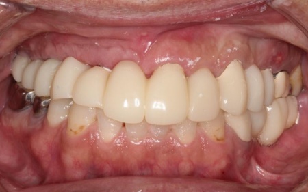
治療前

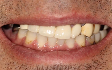
治療後

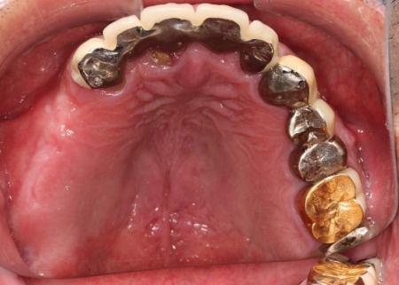
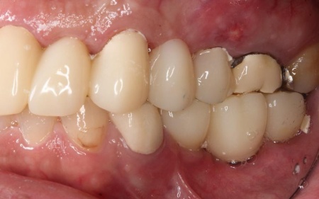
治療前

治療後

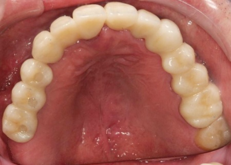
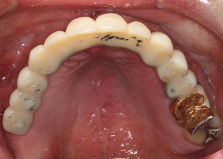
治療前

治療後

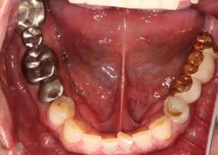
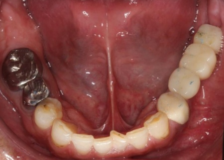
治療前

治療後

治療前

治療後

治療前

治療後

治療前

治療後

治療期間
通院回数
治療費
【内訳】
サイナスリフト、骨移植、インプラント6本、他院インプラント人工歯作り替え、ジルコニアクラウン(インプラント人工歯6本、被せ物3本)、ダイレクトボンディング
想定される副作用またはリスク
・メンテナンスを怠ったり、喫煙したりすると、お口の中に大きな悪影響を及ぼし、インプラント周囲炎等にかかる可能性があります
・糖尿病、肝硬変、心臓病などの持病をお持ちの場合、インプラント治療ができない可能性があります
・高血圧、貧血・不整脈などの持病をお持ちの場合、インプラント治療後に治癒不全を招く可能性があります
・噛み合わせや歯ぎしりが強い場合、セラミックが割れる可能性があります
ご相談内容
「30代から歯科医院に通っていたが、歯が痛むときだけしか受診しなかったせいか、歯が折れて欠損部が増え、噛みにくくなってしまった。また、今までいくつかの歯科医院を受診したが解決が難しく、こちらを受診した」とご相談いただきました。
カウンセリング・診断結果
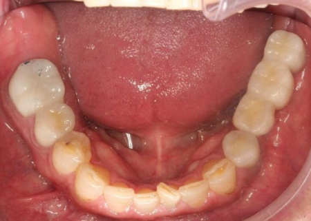
拝見したところ、右上奥歯4本が欠損しており、その影響で全体の噛み合わせのバランスが崩れていました。
加えて、噛んだときに上下の歯の中心がずれており、顔貌のゆがみにもつながっています。
欠損部が多い状態が長期間続いたことで噛み合わせが低く、新しい歯を入れるための高さも不足していました。
また、右上前歯も1本欠損しており、両隣の歯を土台として橋を渡すように連結した被せ物「ブリッジ」が装着されていましたが、土台となっている右上前歯2本(中切歯、犬歯)が割れており、温存が難しい状態です。
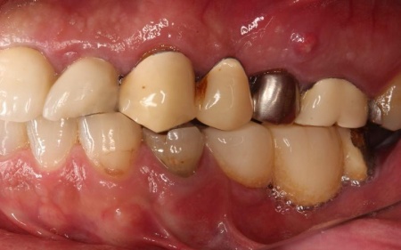
さらに、劣化してうまく適合していない被せ物、詰め物、既存のインプラントが複数見られ、これらも噛み合わせを乱す原因となっていました。
加えて全体的に歯周病も進行しており、骨が溶けている部分も確認できます。
このまま放置すると、食事がしにくい、残っている歯への負担が増えて歯の寿命が短くなるなどのリスクがあるため、早急に治療を開始する必要があると診断しました。
行ったご提案・治療内容
噛み合わせを回復させる方法として、以下の治療計画を提案しました。
①右上前歯のブリッジを外し、右上前歯2本を抜く
ブリッジの土台となっている歯は温存が難しく、抜歯する必要があることをお伝えしました。
②抜いた右上前歯と、すでに欠損している右上奥歯には、インプラント治療を行う
インプラント治療とは、顎の骨に人工の歯根を埋め込み、その上に人工歯を取りつける方法です。
外科手術が必要で治療期間も比較的長くなりますが、自分の歯のような見た目や噛み心地が期待できます。
また、歯を補う方法として「入れ歯」という選択肢もあります。
入れ歯は外科手術が不要なうえ、短期間で作製できるメリットがありますが、毎日の取り外しや清掃などの管理が必要な点、噛む際に違和感を覚えやすい点がデメリットです。
③合わなくなってしまった被せ物、詰め物、既存のインプラントを作り替える
時間がかかる治療ですが、噛み合わせのバランスを根本から整えるために欠かせない工程です。
患者様は「見た目の自然さと、しっかり噛めることを重視したい」とのことで、欠損部の治療にはインプラントを選択され、合わなくなった被せ物や詰め物などの作り替えにも同意いただきました。
まず、右上前歯2本を抜きます。
次に、右上奥歯と前歯にインプラント治療を行いました。
右上奥歯は、歯周病でインプラントを埋入するために必要な骨が不足していたため、上顎の奥にある上顎洞の底を押し上げて人工の骨を補う「サイナスリフト」という骨造成を併用しています。
右上前歯も同様に骨が少なかったため、こちらは骨の移植を行って骨量を確保したのち、インプラントを埋入しました。
インプラントが骨にしっかりとなじんだことを確認したら、白くて強度の高い人工歯「ジルコニアクラウン」を装着しました。
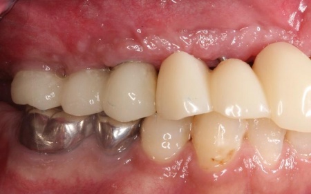
また、インプラント治療と並行して、合わなくなっていた被せ物・詰め物・既存のインプラントを作り替えます。
左上奥歯は、装着されていた金属の古い詰め物を外し、白い樹脂を直接詰める「ダイレクトボンディング」で修復しました。
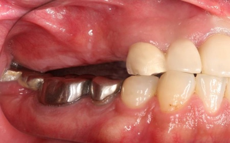
他院で治療を行った左下奥歯3本のインプラントは、土台をそのまま活かして人工歯だけ作り直し、噛み合わせを調整します。
左下奥歯1本、右下奥歯2本に装着されていた古い被せ物はすべて外し、ジルコニアクラウンと交換しました。
最後に、見た目や噛み合わせに問題がないかを確認し、治療を終了しています。







