20代女性 ガタガタに生えていた前歯の歯並びをクローズドコイルとマルチブラケット装置を併用したスピード矯正で改善した症例
治療前

治療後

治療前

治療後

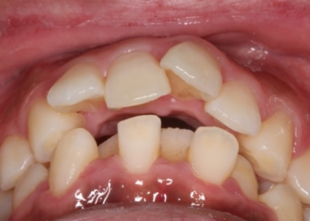
治療前

治療後

治療前

治療後

治療前

治療後

治療期間
通院回数
治療費
(保定装置含む)
想定される副作用またはリスク
・外科処置後に腫れ、出血が生じる場合があります
・外科処置後に痛みが長引く場合があります。必要に応じ痛み止めを併用します
・治療中、装置によってまれに頬の内側が傷つき、口内炎になる場合があります
・歯の移動に伴って、違和感や痛みを感じる場合があります
・正しいブラッシングやメンテナンスを行わない場合、虫歯や歯周病のリスクが高まります
ご相談内容
「前歯がガタガタしていて出っ歯も気になる。人前で笑うことが苦手」とご相談いただきました。
カウンセリング・診断結果
拝見したところ、上下前歯は歯が適切な位置に並ぶためのスペースが足りずガタガタに生えている叢生(そうせい)の状態でした。
また、叢生の影響で左上前歯は外側に飛び出て生えているため、出っ歯のように見えていました。
このまま乱れた歯並びを放置すると、見た目の問題だけでなく、歯ブラシが当たりにくいことで磨き残しが生じて、虫歯や歯周病になるリスクが高まります。
以上のことから、歯並びを改善するための矯正治療が必要であると診断しました。
行ったご提案・治療内容
診断内容をお伝えした上で、歯を適切な位置に移動させるスペースを確保するために、上下左右の歯(第1小臼歯)の抜歯を行い、その後ワイヤー矯正と矯正治療用のバネ「クローズドコイル」を併用する「スピード矯正」を提案し、同意いただきました。
ワイヤー矯正では、歯の表面に接着した四角い装置(ブラケット)にワイヤーを通して歯を動かすマルチブラケット装置を使用します。
治療中の審美性を考慮して、前歯のブラケットは透明で目立ちにくいものを選択しました。
クローズドコイルは違和感や痛みがやや出やすいものの、バネの収縮力を利用して歯に対して一方向へ継続的に力をかけられるため、一般的な矯正治療と比べて治療期間の短縮や通院回数の減少が期待できます。
最初に上下左右の第1小臼歯を抜き、マルチブラケット装置とクローズドコイルを取り付け、歯並びを整えるレベリングを開始しました。
レベリングでは、ワイヤーの調整や交換を行いながら歯の傾きや回転を修正して向きを整え、それぞれの歯を適切な位置へ移動させます。
この段階でクローズドコイルを併用することで、より効率的に歯を動かすことができます。
その後は装置調整のため月に1回来院いただき、約2年半で歯並びが整いました。
矯正治療後は、上下前歯の裏側に歯並びが元に戻らないようにするための保定装置を使用していただいています。





