40代女性 乱れた歯並びと不安定な噛み合わせを矯正治療と被せ物で改善した症例
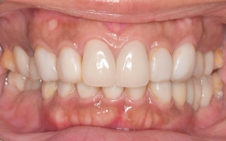
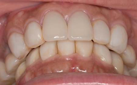
治療前

治療後

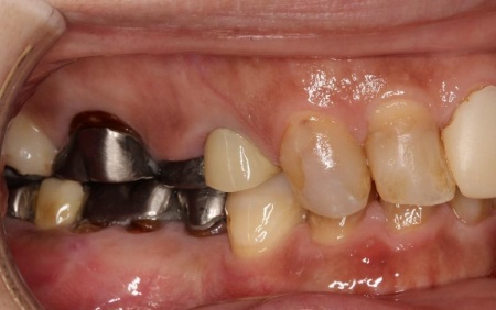
治療前

治療後

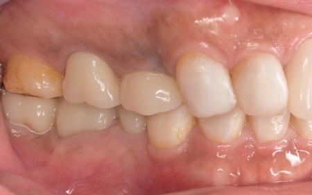
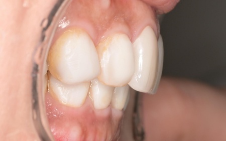
治療前

治療後

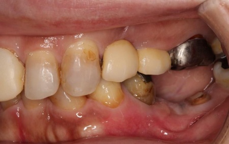
治療前

治療後

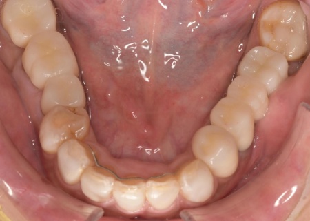
治療前

治療後

治療前

治療後

治療前

治療後

治療前

治療後

治療前

治療後

治療期間
通院回数
治療費
(矯正治療、ジルコニアクラウン、ダイレクトクラウン)
想定される副作用またはリスク
・治療中、装置によってまれに頬の内側が傷つき、口内炎になる場合があります
・歯の移動に伴って、違和感や痛みを感じる場合があります
・正しいブラッシングやメンテナンスを行わない場合、虫歯や歯周病のリスクが高まります
・装着に際し、天然歯を削る場合があります
・強い力や衝撃が加わった場合、割れたり欠けたりする可能性があります
ご相談内容
「20代のころから、痛いときだけ歯科医院に通っていた。歯が折れたり抜けたりしたため、複数の歯をつなげた被せ物を装着しているが、噛みにくくなってしまった。また、最近は食いしばりもあり奥歯が痛む。複数の歯科医院で矯正治療を断られたので、解決策が見つからずに困っている」とご相談いただきました。
カウンセリング・診断結果
拝見したところ、もともと左上の歯と左下前歯が欠損しているうえ、奥歯の欠損も進んでいたため、噛み合わせが低くなっていました。
奥歯が噛み合わない状態になったことで、上前歯が前方に押し出され、出っ歯のようになっています。
また、下の歯は歯根だけが残る「残根」もあり、全体的に噛み合わせが不安定です。
さらに食いしばりの習慣があることから、残っている歯や顎関節に過度な負荷がかかっていると考えられます。
このまま放置すると、食いしばりによる歯の破折や欠損の増加、顎関節への負担増大、前歯の突出の進行などのリスクがあるため、早急に治療を開始する必要があると診断しました。
行ったご提案・治療内容
最初に前歯の位置と噛み合わせの高さを整えるための矯正治療を行い、その後、被せ物による治療で噛み合わせと審美性を回復する方法を提案しました。
メリット
・先に矯正治療を行うことで歯の位置関係が整うため、最終的な被せ物が長持ちしやすくなる
・機能だけでなく、審美性の改善も期待できる
デメリット
・矯正治療と被せ物による治療を組み合わせるため、治療期間が長くなり、治療費も高額になりやすい
・矯正装置を装着することで、違和感があったり日常的なケアが必要になったりする
メリットとデメリットをしっかりとお伝えした結果、治療に同意いただきました。
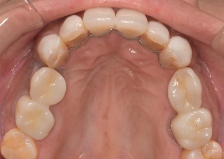
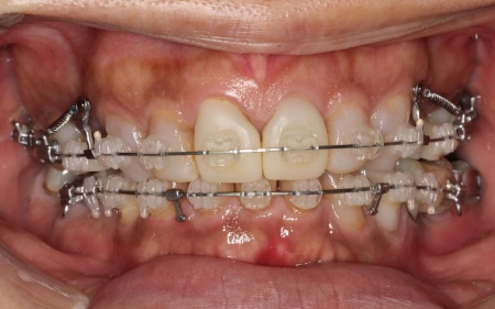
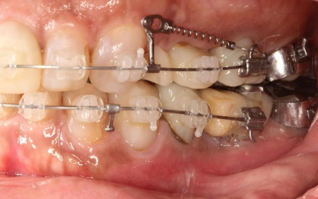
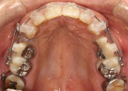
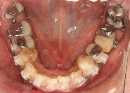
まずは、口腔内全体の矯正治療から開始します。
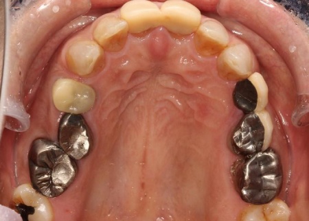
上顎は左上の歯が欠損していたため、左右のバランスを整える目的で、右上の歯(第1小臼歯)を抜きました。
その後、ワイヤー矯正とクローズドコイル(バネの装置)を使ったスピード矯正を行い、前歯を後方に移動させます。
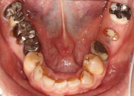
下顎は残根も利用しながら、矯正用の小さなネジ「テンポラリーインプラント(インプラントアンカー)」を顎の骨に埋め込んで固定源とする方法も併用し、歯を移動させました。
矯正期間中は定期的に装置の調整を行い、歯の動きや噛み合わせの変化を確認しながら治療を進めています。
矯正期間終了後は、被せ物による治療に移行します。
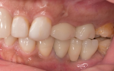
上顎の前歯2本ずつと奥歯4本(左右中切歯・第2小臼歯・第1大臼歯)、下顎の奥歯7本(左第1小臼歯・左右第2小臼歯・第1大臼歯・第2大臼歯)には、見た目が自然なセラミックの被せ物「ジルコニアクラウン」を装着しました。
ジルコニアは、金属を使わないため金属アレルギーの心配が少ない点、人工ダイヤモンドと呼ばれるほどの強度をもち噛む力の強い奥歯にも適している点がメリットです。
加えて、上前歯4本(左右側切歯・犬歯)と下前歯5本(左右中切歯・側切歯・右下犬歯)は、ダイレクトクラウンによる修復を行いました。
ダイレクトクラウンとは、レジン(樹脂)を用いて直接歯の形を作り上げていく治療方法です。
歯を削る量が少ない、色や形を細かく調整しながら仕上げられる、治療後は必要に応じて微調整がしやすいなどのメリットがあります。
最後に、見た目や噛み合わせに問題がないかを確認し、治療を終了しました。







